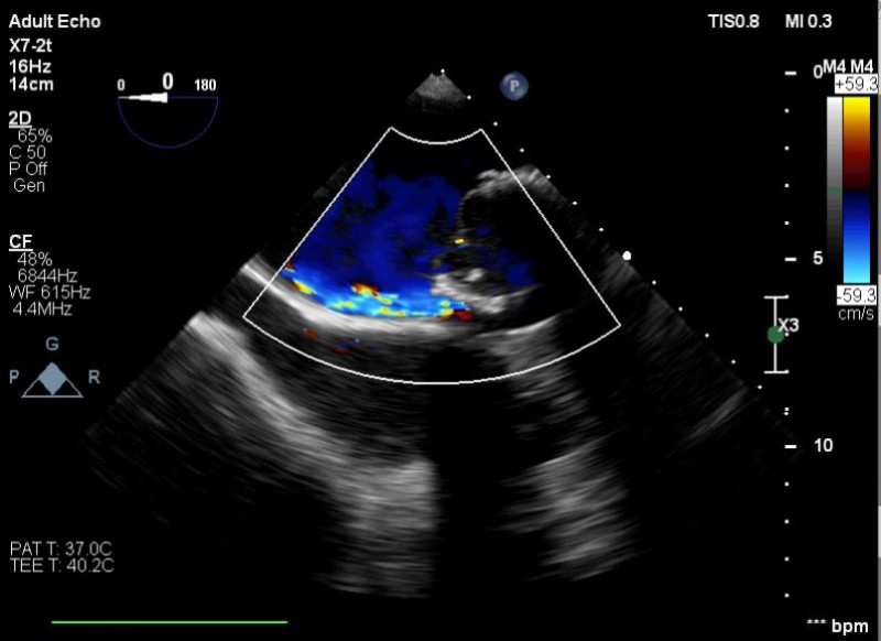
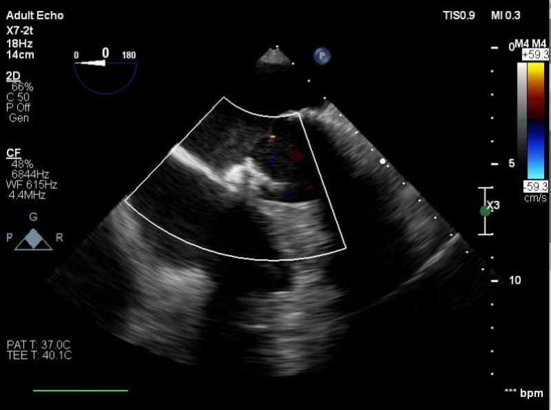
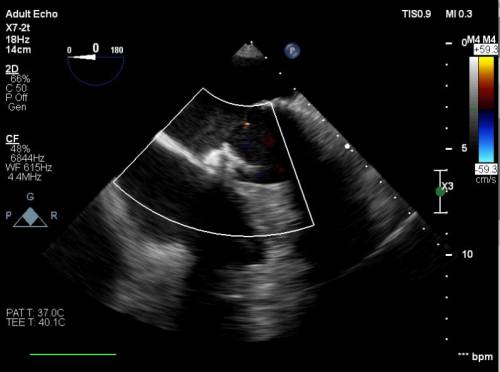
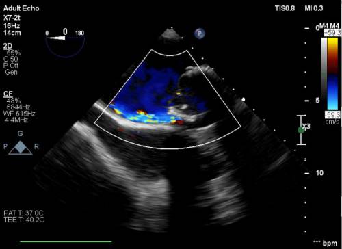
Balıkesir ve çevresine üst düzey nitelikli sağlık hizmeti sunan Balıkesir Üniversitesi (BAÜN) Hastanesi, bölgede sağlık alanında önemli bir merkez olarak faaliyetlerini sürdürüyor. Hastanede yapılan, “Balıkesir’de ilk” nitelikli işlemlerin bir yenisi de Kardiyoloji Anabilim Dalı bünyesinde girişimsel kardiyoloji ile gerçekleştirilen paravalvüler kaçak kapatılması işlemi oldu.
Yapılan işlemi gerçekleştiren ekipte yer alan Prof. Dr. Halil Kısacık, Doç. Dr. Eyüp Avcı, Doç. Dr. Tarık Yıldırım ve Doç. Dr. Özgen Şafak konu hakkında açıklamalarda bulundu. Daha önce kalp kapakçığı değişim ameliyatı olan hastada takılan kapağın kenarından ayrılmasıyla kan kaçağı (paravalvuler leak) meydana geldiğini belirten öğretim üyeleri, Kardiyoloji Anabilim Dalına başvuran hastaya, Türkiye’de sayılı kalp merkezinde yapılan ve önemli düzeyde cerrahi deneyim gerektiren paravalvüler kaçak kapatılması işlemi uygulandığını dile getirdi. İşlemin sadece girişimsel kardiyologlar tarafından yapıldığının altını çizen öğretim üyeleri, işlem sırasında hastanın kalbi durdurulmadan ve göğüs kafesi kesilmeden, kasığından girilerek yapay kalp kapağındaki kaçağın ameliyatsız kapatıldığını söyledi.
Teknolojik gelişmelerin ve güncel uygulamaların yakından takip edildiği BAÜN Hastanesi kardiyoloji anabilim dalı olarak gerek bilimsel alanda gerekse eğitim faaliyetleri bakımından güçlü bir ekibe sahip olduklarının altını çizen Tıp Fakültesi Dekan Yardımcısı ve Kardiyoloji Anabilim Dalı Öğretim Üyesi Doç. Dr. Özgen Şafak, ekip olarak Balıkesir’den şehir dışına hasta sevklerine gerek kalmaması adına öncü bir merkez olarak çalıştıklarını sözlerine ekledi.
Sağlığına kavuşan hasta da kendileriyle yakından ilgilenen başta Kardiyoloji Anabilim Dalı öğretim üyeleri olmak üzere hastane personeline teşekkür etti.
(Balıkesir Üniversitesi)

Yorum yapın